El coronavirus pot provocar anomalies oculars perilloses
La Societat Francesa de Neuroradiologia (SFNR) va iniciar un estudi de 129 pacients amb COVID-19 greu que es van sotmetre a una ressonància magnètica cerebral
Els investigadors han trobat, mitjançant ressonància magnètica, anomalies significatives en els ulls d'algunes persones amb COVID-19 greu, segons un estudi publicat a la revista 'Radiology'. Els resultats de l'estudi donen suport a la necessitat d'un examen ocular en aquests pacients per a proporcionar el tractament i el maneig adequats de les manifestacions oftalmològiques potencialment greus de COVID-19.

El COVID-19, vinculat a anomalies oculars potencialment perilloses / EP
La pandèmia de COVID-19 ha afectat més de 100 milions de persones des que va començar a principis de 2020. Encara que el virus ataca principalment als pulmons, s'ha relacionat amb anomalies oculars com la conjuntivitis, també coneguda com conjuntivitis, i la retinopatia , una malaltia de la retina que pot provocar la pèrdua de visió. S'han notificat anomalies oculars visibles en exàmens de ressonància magnètica, però la investigació sobre la naturalesa i la freqüència d'aquestes anomalies és limitada.
Per a més informació, la Societat Francesa de Neuroradiologia (SFNR) va iniciar un estudi de 129 pacients amb COVID-19 greu que es van sotmetre a una ressonància magnètica cerebral.
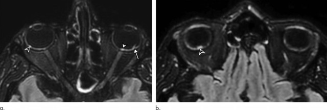
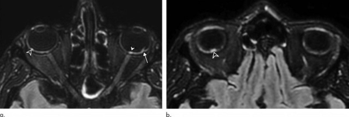
Dels 129 pacients, nou (7%) tenien troballes anormals en la ressonància magnètica del globus ocular. Les ressonàncies magnètiques van mostrar un o més nòduls a la part posterior, o pol posterior, del globus ocular. Vuit dels nou pacients havien passat un temps a la unitat de cures intensives (UCI) per COVID-19.
"Vam demostrar que alguns pacients amb COVID-19 greu de la cohort francesa de COVID-19 tenien un o diversos nòduls en el pol posterior del globus --destaca l'autor principal de l'estudi, Augustin Lecler, professor associat de la Universitat de París i neuroradiòleg del Departament de Neuroradiologia de l'Hospital Fundació Adolphe de Rothschild de París-. Aquesta és la primera vegada que es descriuen aquestes troballes mitjançant ressonància magnètica ".
Els nou pacients tenien nòduls a la regió macular, l'àrea a la part posterior de l'ull responsable de la nostra visió central. Vuit tenien nòduls en els dos ulls.
Els resultats suggereixen que s'ha de considerar el cribratge en tots els pacients amb COVID-19 greu per detectar aquests nòduls. A la pràctica clínica, aquesta detecció podria incloure una exploració dedicada dels ulls amb ressonància magnètica d'alta resolució, van dir els investigadors.
Els exàmens addicionals recomanats inclouen la fundoscopia, que fa servir una lupa i una llum per revisar la part posterior de l'interior de l'ull, i la tomografia de coherència òptica, una prova no invasiva que proporciona una imatge en 3D de l'estructura de l'ull.
El doctor Lecler assenyala que els problemes oculars greus poden passar desapercebuts en gran mesura a la clínica, ja que els pacients amb COVID-19 hospitalitzats a la UCI sovint reben tractament per afeccions molt més greus i potencialment mortals.
"El nostre estudi advoca per la detecció de COVID-19 greu en tots els pacients hospitalitzats a la UCI --prossegueix el doctor Lecler--. Creiem que aquests pacients han de rebre tractaments de protecció ocular específics".
El mecanisme darrere de la formació de nòduls segueix sent desconegut, van dir els investigadors, encara que podria estar relacionat amb la inflamació provocada pel virus.
El drenatge inadequat de les venes dels ulls, un problema que es troba en els pacients que passen temps a l'UCI en decúbit pron o intubats, també pot ser un factor. Set dels nou pacients amb anomalies oculars de l'estudi havien estat col·locats en decúbit pron a la UCI durant un temps prolongat.
Els investigadors estan realitzant exàmens clínics i de ressonància magnètica de seguiment en els supervivents per controlar els nòduls i veure si tenen alguna conseqüència clínica, com pèrdua de la visió o deteriorament del camp visual.
També estan realitzant exàmens de ressonància magnètica en pacients nous amb COVID-19 greu de la segona i tercera onades de la pandèmia, utilitzant proves oftalmològiques més completes per correlacionar amb els resultats de la ressonància magnètica.
Els efectes en pacients amb COVID-19 moderat estan actualment sota investigació. "Hem llançat un estudi prospectiu amb imatges de ressonància magnètica d'alta resolució dedicades per explorar el ull i l'òrbita en pacients amb COVID lleu a moderat --adelanta el doctor Lecler--. Per tant, podrem saber si els nostres troballes van ser específics de pacients amb COVID greu o no ".
Les troballes recolzen investigacions anteriors que van demostrar que COVID-19 cobra un major preu en persones amb problemes de salut existents. Dels nou pacients amb nòduls oculars, dos tenien diabetis, sis eren obesos i dues tenien hipertensió.
Escriu el teu comentari