Investigadors espanyols descobreixen com frenar la fibrosi hepàtica, principal causa de trasplantament de fetge
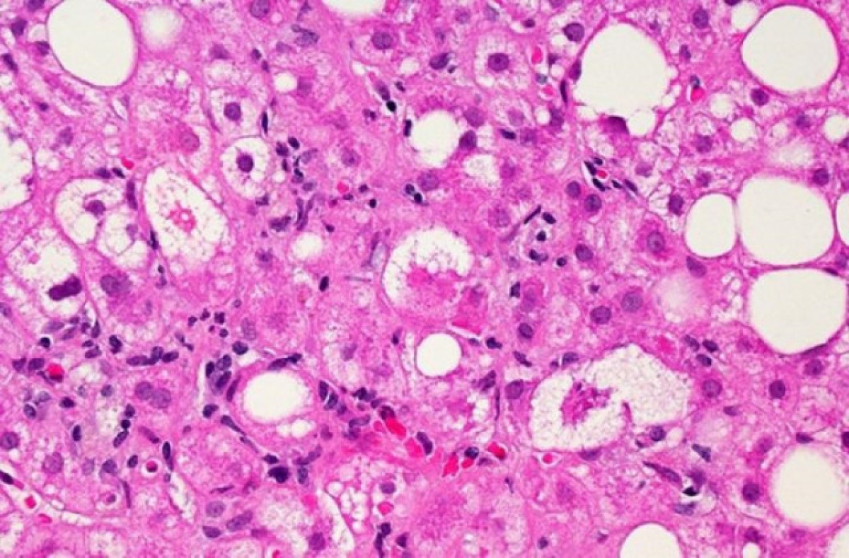
La fibrosi hepàtica és una malaltia crònica que apareix en fases avançades del fetge gras .
La malaltia del fetge gras afecta el 25 per cent dels espanyols i es preveu un increment de la seva incidència en els propers anys , associat al també augment de l'obesitat i la síndrome metabòlica, segons ha ressaltat recentment l' Associació Espanyola per a l'Estudi del Fetge (AEEH). Una de les seves principals conseqüències, que és la primera causa de trasplantament de fetge, és la fibrosi hepàtica. I un grup d? investigadors espanyols han descobert com frenar-la.

Teixit de fetge gras /@EP
QUÈ ÉS LA FIBROSI HEPÀTICA?
La fibrosi hepàtica és una malaltia crònica que apareix en fases avançades del fetge gras . És l'avantsala de la cirrori i el càncer i, fins ara, els científics no hi han trobat un tractament. Per això es troba com la principal causa dels trasplantaments de fetge.
Beure alcohol, l'obesitat, la diabetis tipus 2 o certes infeccions porten a l'aparició de fetge gras. Aquest es pot revertir amb canvis en l'estil de vida, però no passa el mateix amb les cicatrius que apareixen al fetge quan el fetge gras avança. Les cicatrius són la conseqüència que les cèl·lules estel·lars del fetge s'activen davant d'inflamacions i canvis en el metabolisme. I aquestes cicatrius al fetge són anomenades fibrosi hepàtica.
TROBEN UNA DIANA TERAPÈUTICA
Però la ciència avança i ara un conjunt d'investigadors del grup de metabolisme molecular del CiMUS de la USC ha trobat una nova diana terapèutica. És la proteïna CPT1A, que es troba en altes quantitats a les cèl·lules estel·lars del fetge de persones i animals amb fibrosi. Els científics han descobert que inhibir el CPT1A es rebaixa l'activació de les cèl·lules estel·lars i això comporta una reducció del dany del fetge.
L'estudi, que l'han dut a terme en col·laboració amb el CIBER d'Obesitat i Nutrició (CIBEROBN)(link is external) i el CIBER de Malalties Hepàtiques i Digestives (CIBEREHD)(link is external) , s'ha publicat recentment a la revista científica Journal of Hepatology .
COM ES VA FER L'ESTUDI?
Els experts van fer servir tres models diferents per dur a terme l'estudi: cultius cel·lulars de cèl·lules estel·lars, models animals i mostres procedents de pacients. En el cas dels pacients, s'han fet servir mostres de biòpsia hepàtica de 27 persones amb fibrosi hepàtica en diferents graus.
Així va ser com van veure que els pacients que tenien fibrosi presentaven alts nivells de CPT1A a les cèl·lules estel·lars. Es tracta d'una proteïna que juga un paper important en la beta oxidació, un procés en què la cèl·lula crema greix per aconseguir energia. El mateix va passar en observar les cèl·lules i en els models animals.
"Hem demostrat que les cèl·lules estel·lars utilitzen greix, en particular un greix saturat anomenat àcid palmític, per obtenir l'energia necessària per activar-se, produint així una fibrosi", detallen Marcos Fernández Fondevila, Uxía Fernández Paz i Violeta Heras Domínguez, autors principals del estudi. "Bloquejant la proteïna CPT1A en les cèl·lules estel·lars en cultiu o en ratolins som capaços d'alentir el desenvolupament de la malaltia”, conclouen.
Escriu el teu comentari