Els bacteris intestinals poden generar metàstasi en tumors de càncer de colon
Ho han descobert investigadors de la Vall d'Hebron Institut d'Oncologia que han participat en un estudi que publica la revista 'Science'.

Han aconseguit reduir els tumors amb antibiòtics.
Investigadors de la Vall d'Hebron Institut d'Oncologia (VHIO) han participat en un estudi multicèntric internacional que ha descobert que alguns bacteris de la microbiota intestinal podrien impulsar metàstasi al fetge en casos de tumor de càncer colorectal, ha publicat la revista 'Science'.
El major coneixement d'aquests bacteris obre la porta a nous tractaments amb antibiòtics combinats amb quimioteràpia.
Primer haurien de provar-se en estudis clínics, després que els científics hagin aconseguit reduir un 30% el creixement dels tumors tractant-los amb antibiòtics en ratolins.
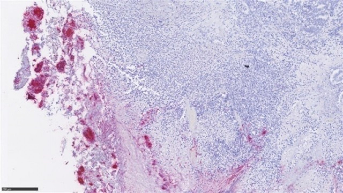
Liderat pel Dana-Farber Cancer Institute, l'estudi ha aclarit que les fusobacterias, un tipus de bacteris de la microbiota que solen estar en la cavitat oral, poden créixer en altres llocs en condicions de malaltia, com tumors, després de trobar-les en càncer colorectal.
Així, han descobert que aquests bacteris es troben dins de la cèl·lula, tant en el tumor com en la metàstasi.
"És com si la cèl·lula tumoral està infectada amb aquest 'bestiola', i això determina un canvi de programació de les cèl·lules perquè puguin créixer més", el que també es relacionaria amb la producció de metàstasi.
A partir d'aquestes dades, van provar si es podia disminuir o afectar el creixement del tumor tractant amb antibiòtic específic i van aconseguir una reducció del 30% de la crescuda tumoral.
MICROBIOTA
El treball, en què han participat també altres professionals del Campus Vall d'Hebron, al costat de cinc centres nord-americans, ha comparat la microbiota en el tumor primari del càncer i en la metàstasi hepàtica del mateix pacient, i han detectat que les dues microbiotas són "bàsicament les mateixes".
Escriu el teu comentari