Acadèmic Corresponent de la Real Academia de Jurisprudencia y Legislación.

@EP
El 16 d'agost, i davant l'agreujament del meu estat, vaig ser traslladat amb tota urgència a Saragossa, al servei de neurologia del Miguel Servet, situat a la setena planta de la ciutat sanitària, i allà es van desplaçar urgentment la meva dona i el meu fill, germà, cunyada, Pepe, que és com un germà, i el meu nebot Joaquín.
Òbviament només els van permetre veure'm un moment, com una atenció especial que agraeixo, i a mi em va quedar el dubte de si venien a veure'm o a acomiadar-se, era el lamentable estat en què estava.
Em van ubicar en una petita Uci amb tres o quatre llits, i tres infermeres pendents de nosaltres les 24 hores del dia, i connectats a múltiples aparells, amb tot el cos ple de ventoses o com es diguin, un artefacte al braç sa, és dir el dret (sempre he estat de dretes), i que automàticament em mirava la tensió cada quinze o vint minuts, etc.
Al moviment més lleu, es disparaven les alarmes, i començava a sonar un soroll que alertava les infermeres que alguna cosa no anava bé.
Evidentment, no podia no moure'm, i notava (és un dir) que mig cos no obeïa al meu cap, i que estava mort com la moixama…
I vaig començar a pregar, i a pensar que jo no mereixia això.
Tota una vida lluitant, estudiant, formant-me, llegint, escrivint, etc., per a res. Em quedava el consol que el meu fill Ramiro és advocat en un dels despatxos més grans i prestigiosos d'Espanya, i que Esmeralda rebria la pensió corresponent, que li permetria viure dignament, però res més.
Estava paralitzat, no podia ni moure'm al llit, però el cap no parava de pensar, recordant totes les coses que havia deixat a mig fer, o que ja no podria fer. Em veia tolit, per a la resta dels meus dies, això suposant que em quedés algun temps, i que seria una càrrega per a la meva dona i fill.
I que la vida era injusta, molt injusta, ja que no he fumat a la vida. Tampoc no prenc licors, tret d'alguna cervesa a l'estiu. No he consumit mai drogues i, en definitiva, omplo una vida sana, encara que amb molt estrès, i possiblement massa sedentària, encara que procuro caminar, passejar, etc.
El meu autobús urbà són les sabates, i acostumo a anar a tot arreu caminant, llevat que sigui a l'altre extrem de Saragossa.
No utilitzo mai el cotxe a la ciutat, i procuro reduir al màxim el consum de cafè.
En definitiva, pensava –i continuo pensant–, que no em mereixia el que m'estava passant, però l'home proposa, i Déu disposa, i cal resignar-se al que ha passat, i pitjar amb força per procurar modificar favorablement la situació.
En preguntar la meva dona què seria de mi, un dels metges de la planta li va dir que m'anés buscant una residència per a persones incapacitades…
Esmeralda va passar uns dies horrorosos davant aquesta perspectiva, igual que el meu fill, Ramiro, i tota la família, que es va bolcar amb mi, tant els Grau com els Morancho.
La meva gratitud envers tots i cadascun d'ells, i especialment envers la prima Meritxell, un metge excel·lent, que va animar molt la meva dona, i li va donar nombrosos consells, que ens van ser de gran utilitat.
I jo vaig fer l'única cosa que podia fer, que era pregar, i acceptar que estava a les mans de Déu, i que, en definitiva, seria el que Ell volgués…
De la meva estada a l'UCI de la planta setena recordo la cura, i fins i tot les manyagues, les bones paraules, etc., de tots els infermers, i molt especialment d'un noi jove, andalús, que era amabilitat en persona. Si m'estàs llegint, amic, gràcies, moltes gràcies!
Després d'una setmana, més o menys, doncs tinc els records perduts a la nebulosa de la meva inconsciència, vaig ser traslladat a una habitació, i allà vaig poder comprovar in situ que era incapaç de moure'm al llit, i fins i tot de fer les meves necessitats, doncs el cos es resistia a orinar i defecar als bolquers, igual que a la falca.
Terrible situació, que no desitjo a ningú.
A sobre, a la nit patia malsons, que em van portar a caure del llit dues vegades, davant dels meus desitjos d'anar al bany, ja que estava que rebentava, però no podia fer de cos, ni tan sols orinar.
Vaig haver de ser sondat en algunes ocasions, amb el risc de patir infeccions del tracte urinari, i el dolor corresponent.
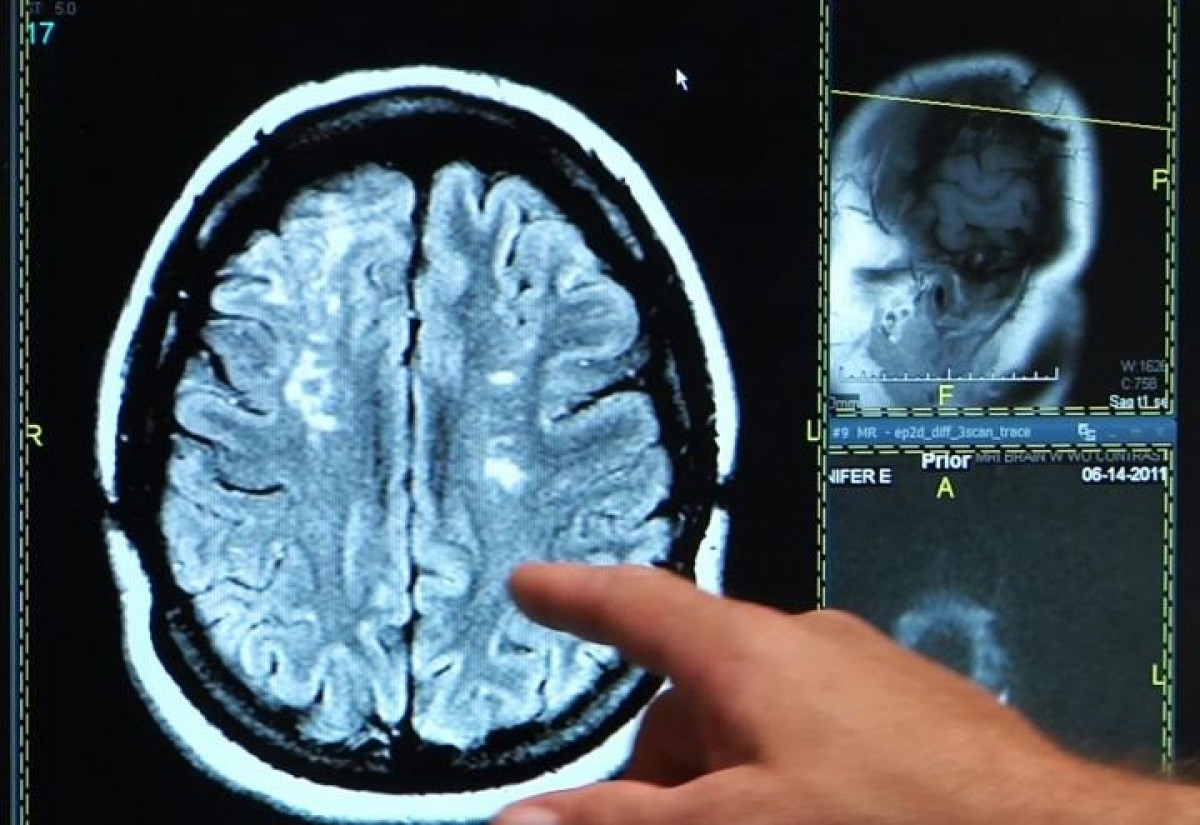
Vistos a posteriori els informes mèdics corresponents, resulta que: … davant la manca de monitors a urgències de l'Hospital de Barbastre, es decideix trasllat a UCI del HUMS per a control i tractament.
Infarts puntiformes a l'hemisferi cerebral esquerre amb microinfarts protuberancials recents.
Diagnòstic principal: ictus isquèmic agut.
Valorat pel servei de rehabilitació els qui decideixen el seu trasllat per continuar tractament.
A la Unitat (de Neurologia) nou episodi d'empitjorament hemicorporal sense canvis a TAC”.
Excuso dir-los que segueixo sense assabentar-me de res o gairebé res, que els records són molt borrosos, i que la meva gran preocupació era el dineral que li estava costant a la seguretat social, amb una infermera permanentment al meu costat, durant 24 hores al dia, cosa que suposava un mínim de quatre infermeres, comptant amb una corre torns. ¡Com si m'haguessin de passar la factura!, però és el que hi ha, quan un es preocupa més de l'interès públic que del particular.
El dia 30 d'agost em baixen a la planta O, Servei de Rehabilitació, on començarà la meva lluita per la vida, per tornar a la vida, però aquesta ja és una altra història.
(Continuarà)
Escriu el teu comentari